true
Icon to close the modal
Soutien
Service à la clientèle et commande
Icône Téléphone
866 979 9408, (905 288 6000 non toll free)
Icône Fermer le modal
Nous contacter
Icône pour fermer le modal merci
Merci d'avoir contacté notre équipe commerciale!
Un représentant commercial vous contactera sous peu

Endoprothèse vasculaire couverte extensible par ballonnet Lifestream™

Optimisée pour les interventions iliaques

Contactez-nous
BD-70801 LSTRM_Images_For BD Product Wepage_907x478b
Chargement
Présentation

Lorsque vous utilisez une endoprothèse extensible par ballonnet, la précision est essentielle. L’endoprothèse couverte extensible par ballonnet LifeStream™ est le fruit de la grande expérience de BD en matière d’angioplastie transluminale percutanée et d’endoprothèses couvertes. Elle a été conçue pour les anatomies difficiles des artères iliaques et pour faciliter une mise en place précise. Grâce à sa conception facilitant la traçabilité, à son profil de gaine compact, aux repères spécifiquement positionnés sur l’endoprothèse et à un raccourcissement minime, l’endoprothèse couverte LifeStream™ vous permet d’obtenir une mise en placeprécise.

 

Nous avons tout ce qu’il vous faut

 

L’endoprothèse vasculaire couverte extensible à ballonnet LifeStream™ est le fruit de la grande expérience de BD en matière d’angioplastie transluminale percutanée et d’endoprothèses couvertes. Elle a été conçue pour les anatomies difficiles des artères iliaques et pour faciliter une pose précise. 

 

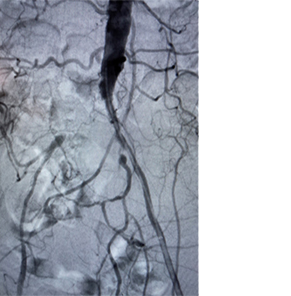
  • initial-angio.png

    Angiographie initiale  

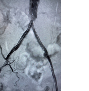
  • kissing-stents-placed.png

    Pose d’endoprothèses de contact

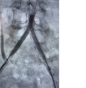
  • result.png

    Résultat   

 
 
Images avec l’aimable autorisation du Dr Norby.
Les résultats individuels peuvent varier.

 
 

Caractéristiques du produit

 


            

Profil de gaine bas Profil de gaine bas
Profil de gaine bas
Pose précise Pose précise
Pose précise
Pose aisée Pose aisée
Pose aisée
<h2>Vaste gamme de tailles et gaine à profil bas</h2>

Vaste gamme de tailles et gaine à profil bas

<p><sup>Les repères radio-opaques de l’endoprothèse couverte LifeStream™ ont été spécifiquement positionnés sur le cathéter à ballonnet aux extrémités de l’endoprothèse couverte sertie pour faciliter la pose précise de l’endoprothèse. Et lorsque les millimètres comptent, l’endoprothèse couverte LifeStream™, avec un raccourcissement moyen de 3,5 % pour toutes les tailles de ballonnets à la pression de gonflage nominale<sup>2</sup>, a obtenu un taux de réussite technique à court terme de 98,3 % dans l’étude BOLSTER<sup>3</sup>  </sup>.</p>
<h2>Raccourcissement minimal</h2>
<p>L’endoprothèse vasculaire couverte extensible à ballonnet LifeStream™est conçue pour maximiser la couverture de votre lésion avec un raccourcissement minimal et faciliter une pose précise. </p>

Les repères radio-opaques de l’endoprothèse couverte LifeStream™ ont été spécifiquement positionnés sur le cathéter à ballonnet aux extrémités de l’endoprothèse couverte sertie pour faciliter la pose précise de l’endoprothèse. Et lorsque les millimètres comptent, l’endoprothèse couverte LifeStream™, avec un raccourcissement moyen de 3,5 % pour toutes les tailles de ballonnets à la pression de gonflage nominale2, a obtenu un taux de réussite technique à court terme de 98,3 % dans l’étude BOLSTER3  .

Raccourcissement minimal

L’endoprothèse vasculaire couverte extensible à ballonnet LifeStream™est conçue pour maximiser la couverture de votre lésion avec un raccourcissement minimal et faciliter une pose précise. 

<p><sup>Résultats démontrés lors d’essais simulés. Données archivées, Bard Peripheral Vascular, Inc. Tempe, AZ. Un essai en laboratoire n’indique pas nécessairement représentatif de la performance clinique. Différentes méthodes d’essai peuvent entraîner des résultats différents. Veuillez consulter la notice de l’emballage pour de plus amples renseignements sur la sécurité et le mode d’emploi.</sup></p>
<h2>Traçabilité</h2>
<p>L’endoprothèse vasculaire couverte extensible à ballonnet LifeStream™ est conçue pour assurer la traçabilité requise pour faciliter la pose dans les anatomies complexes et tortueuses.</p>

Résultats démontrés lors d’essais simulés. Données archivées, Bard Peripheral Vascular, Inc. Tempe, AZ. Un essai en laboratoire n’indique pas nécessairement représentatif de la performance clinique. Différentes méthodes d’essai peuvent entraîner des résultats différents. Veuillez consulter la notice de l’emballage pour de plus amples renseignements sur la sécurité et le mode d’emploi.

Traçabilité

L’endoprothèse vasculaire couverte extensible à ballonnet LifeStream™ est conçue pour assurer la traçabilité requise pour faciliter la pose dans les anatomies complexes et tortueuses.

Caractéristiques principales

three-stents
La performance est ce que nous offrons
  • Endoprothèse de base novatrice en acier inoxydable entièrement encapsulée avec deux couches d’ePTFE
  • ePTFE microporeux éprouvé conçu pour résister à la croissance néointimale
  • Adaptation de l’implant à l’anatomie des vaisseaux1
Produits et accessoires
Produits connexes non disponibles
Modes d’emploi en version électronique
Ressources

Références

* En février 2023.

** Les diamètres de 5 mm à 8 mm utilisent une plateforme d’endoprothèse de base de 37 mm. Les diamètres de 9 mm à 12 mm utilisent une plateforme d’endoprothèse de base de 38 mm.

1Capacité à post-dilater au-delà du diamètre nominal pour faciliter l’adaptation aux différents diamètres du vaisseau du patient. Les dispositifs de 5 à 8 mm peuvent être post-dilatés avec des ballonnets dont le diamètre peut atteindre 10 mm et les dispositifs de 9 à 12 mm peuvent être post-dilatés avec des ballonnets dont le diamètre peut atteindre 12 mm.

2 Le raccourcissement est calculé comme le pourcentage de différence entre la longueur de l’endoprothèse couverte indiquée sur l’étiquette à l’état serti et la longueur réelle de l’endoprothèse, telle que mesurée à la pression nominale et à la pression de rupture nominale. Pour toutes les tailles de ballonnets, le raccourcissement était compris entre -1,5 % et 11,6 % à la pression nominale, avec une moyenne de 3,5 %, et entre -0,8 % et 11,8 % à la pression de rupture nominale, avec une moyenne de 4,6 %. Consulter la notice de l’emballage pour le tableau de raccourcissement de l’endoprothèse couverte LifeStream™.

3 La réussite technique à court terme est définie comme le déploiement réussi de l’endoprothèse couverte LifeStream™ à l’emplacement prévu, tel que déterminé par l’investigateur. Étude clinique BOLSTER. Données archivées. Bard Peripheral Vascular, Inc., Tempe, AZ. 

 

 

BD-82096v2

true
Endoprothèse vasculaire couverte extensible par ballonnet Lifestream™ BD Stent vasculaire couvert extensible par ballonnet LifeStream™ /content/dam/bd-assets/bd-com/en-us/logos/bd/header-bd-logo.svg

Optimisée pour les interventions iliaques